konomi動物病院で治療実績や経験のある症例および手術方法などを掲載しています。

動物(犬猫ウサギ)の腫瘍外科|犬猫のガン治療なら広島市konomi動物病院
konomi動物病院では腫瘍の治療の一環として、外科的切除を行うことがあります。可能な限りの根治を目指しますが、時にはQOLを高めることを意識した手術を実施することもあります。転移がある場合には手術が困難となることもありますが、できるだけ手術前に検査を行い、手術の適応について検討しています。

犬の甲状腺機能低下症|犬猫の治療なら広島市konomi動物病院
犬の甲状腺機能低下症甲状腺および甲状腺ホルモンについて甲状腺は首元に気管をはさんで左右に1つずつある臓器です。ヒトにはもちろんですが、犬にも猫にもあります。そして、甲状腺からは甲状腺ホルモンという内分泌物質が放...

犬の口蓋裂|犬猫の治療なら広島市konomi動物病院
犬の口蓋裂はほとんどの場合、先天的なもので、生まれて早い段階で症状が出るようになります。母乳などが飲み込みにくかったり、鼻から逆流して出てくることがあります。そのような状態ではうまく成長が見込めないケースがありますので、早期の手術を検討していく必要があります。当院では生後2~4カ月くらいでの手術を提案するようにしています。

犬・猫の脛骨骨折整復手術|犬猫の治療なら広島市konomi動物病院
犬・猫の脛骨骨折整復手術脛骨骨折について脛骨は腓骨と合わせて下腿骨と呼ばれます。高いところから落ちてしまったり、交通事故にあったりして骨折してしまいます。臨床的によく見受けられるのが、サークルやカーテンなどに足...

犬・猫の鼠径ヘルニア|犬猫の治療なら広島市konomi動物病院
鼠径ヘルニアは下腹部や足の付け根などに発生します。腸や膀胱、子宮や脂肪などが腹腔内から突出している病態をさします。その多くは生まれつきの先天的なものですが、まれに外傷などで後天的に起こることもあります。当院では鼠径ヘルニアの整復を外科的に実施しています。ヘルニア孔を縫合糸で閉鎖することで治療を行います。

犬・猫の輸血|犬猫の治療なら広島市konomi動物病院
犬・猫の輸血は時に緊急性がともないます。多量の出血や自己免疫性溶血性貧血、血小板減少症など待ったなしの疾病が対象となります。一方で、動物病院には血液の貯蔵がないことがほとんどで、その都度、ドナー選定、採血、交差適合試験といった流れが必要になります。当院では緊急時にできるだけスムーズに輸血ができるように環境を整えています。

犬猫の皮膚糸状菌症|犬猫の治療なら広島市konomi動物病院
皮膚糸状菌症の診断には視診も重要ですが、顕微鏡による皮膚検査がとても有効です。当院では正確な診断にこだわっており、それゆえ的確な治療を提案することが可能です。
本症の治療には薬用シャンプーおよび外用薬、内服薬などの治療方法を取り入れて、多角的なアプローチを実施しています。

犬猫の献体にご協力ください(亡くなった子の病理解剖)ー広島市konomi動物病院
犬猫の献体にご協力ください献体について献体とは、獣医師の教育や技術向上のため、亡くなられた愛犬・愛猫のご遺体を無償で提供いただく制度です。献体にご協力いただける場合は、下記の施設で剖検が行われます。※死亡原因な...

骨盤骨折整復手術|犬猫の治療なら広島市konomi動物病院
動物は交通事故などで、骨盤を骨折することがよくあります。骨盤の中でも腸骨が骨折した際は、著しく運動機能が阻害されてしまうため、手術によって、骨盤を整復してあげる必要があります。当院では主に骨プレートを用いた骨折の整復手術を行っています。ほとんどの場合は整復手術により、問題なく歩行ができるようになります。

フィラリア感染症+ボルバキア治療|犬猫の治療なら広島市konomi動物病院
フィラリア感染症は蚊を媒介して感染してしまう感染症になります。毎年の予防が肝要ですが、それでも感染リスクがゼロになるわけではありません。万が一、発症してしまった場合は、当院では抗菌薬などの治療を実施しています。非常に長期間の投薬が必要となりますが、多くの場合は、薬を飲むことで状態は安定することが期待できます。

猫の腎臓病|犬猫の治療なら広島市konomi動物病院
高齢の猫では多くの個体が腎臓病をかかえています。腎臓病は血液検査や超音波検査でその重症度を知ることができます。飲み薬や点滴など必要なケアをしてあげることで腎臓病は可能な限りの進行を抑えていくことが可能です。当院では個体にあった治療方法を選択し、提供しております。

犬・猫の横隔膜ヘルニア|犬猫の治療なら広島市konomi動物病院
犬や猫の横隔膜ヘルニアは多くの場合、交通事故などの外傷性に発症します。先天的に罹患しているケースもあります。konomi動物病院では外科的な手術を行うことで、破損した横隔膜を正常化して、呼吸状態や嘔吐などの症状を改善させることが可能です。手術の実施はできるだけ早期に実施されるべきであり、治療について積極的に行うことが肝要です。

ポメラニアンのトリミング|広島でおすすめのトリミング
ポメラニアンのトリミング日常ケアでやっておくべきことポメラニアンは毛のフワフワの感じが特徴的だと思いますが、その分もつれやすく、毛玉にもなりやすいです。また、抜け毛が多く沢山抜けます。そのため、日々のブラッシン...

チワワのトリミング|広島でおすすめのトリミング
チワワのトリミングチワワのトリミングで気にかけていること、注意点チワワはダブルコート(毛の層が2つあること)なので、カット前に抜け毛処理をしっかりとしてからカットの作業に入るようにしています。そうすることで、シ...

トイプードルのトリミング|広島でおすすめのトリミング
トイプードルのトリミングプードルのトリミングで気にかけていることボディの長さ、お顔のイメージを考える際まず飼い主様の要望を聞き、トリミング頻度等を考慮してそれぞれに合う長さ、形を提案させていただいております。ま...

ダックスのトリミング|広島でおすすめのトリミング
konomi動物病院では犬猫のトリミングに力をいれています。ダックスのトリミングでは毛の流れを意識して、仕上げをするようにしております。腰を痛めやすい犬種になりますので、できるだけ体に負担がかからないように施術をすすめております。

犬・猫の永久気管開口術|犬猫の治療なら広島市konomi動物病院
当院では呼吸困難を呈した犬や猫に対して、永久気管開口術を実施することがあります。重度の呼吸不全に陥っている場合に適応となります。この手術によって、安定した呼吸状態に回復することができますが、一方で、術後の管理が重要となる一面もあります。

猫の動脈血栓塞栓症|犬猫の治療なら広島市konomi動物病院
心臓疾患を患っている猫では動脈に血栓ができてしまい、血栓塞栓症を生じることがあります。動脈血栓塞栓症は致死的な病気であり、緊急性が高く、早急な治療を必要とします。当院では専用のカテーテルを使用して、緊急的な治療を実施しています。

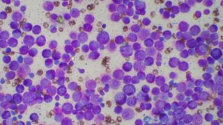
犬・猫の骨髄検査|犬猫の治療なら広島市konomi動物病院
重度の貧血や、異常な白血球数などが血液検査で判明した場合に、骨髄検査が必要となるケースがあります。白血病や赤芽球癆、骨髄異形成症候群などが代表的な疾病です。当院では、日帰り~1日入院にて骨髄検査を実施しています。骨髄検査の結果にともなって、治療や対策方法を提案するようにしてます。

犬の第三眼瞼腺癌(涙腺癌)|犬猫の治療なら広島市konomi動物病院
犬の第三眼瞼腺・涙腺癌は眼の周囲に発生する可能性のある腫瘍性疾患のひとつです。眼が異常に腫れてきたり、充血が見られると疑いが強まります。当院では必要な画像検査を実施したのちに、細胞診などで確定診断を行うようにしています。抗腫瘍薬などでコントロールして管理する方法があります。